Our Smiles Speak for Themselves
At Capan Orthodontics, we love seeing our patients look and feel their best with a beautiful, confident smile.
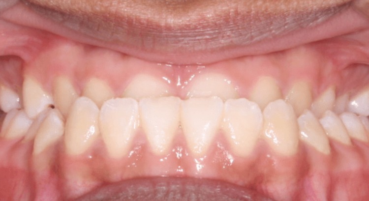
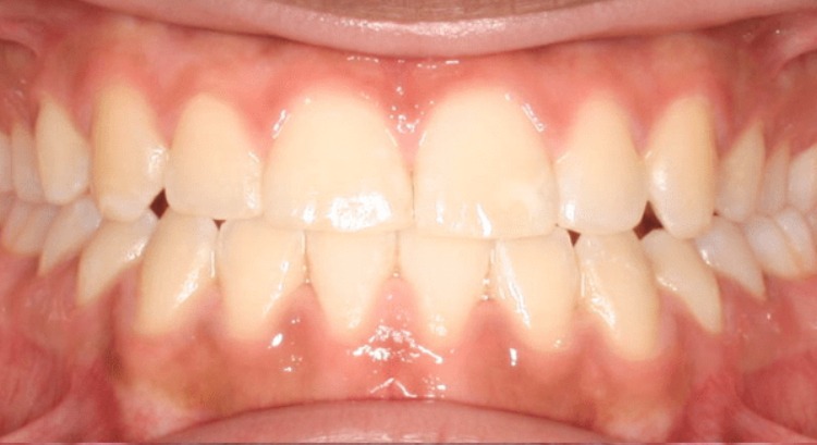
Browse our smile gallery to see the amazing results of some of our awesome patients in and around Englewood Cliffs.

Open Bite


Crowding


Posterior Crossbite and Spacing


Increased Overbite and Overjet


Underbite

